The HealthyStart™ system is a series of specially designed oral appliances that correct narrow dental arches, tooth positioning, and mouth breathing in children. HealthyStart accomplishes its treatment through a non-surgical reconstruction of the mouth. The system of oral apparatuses sets the mouth in a healthy position, strengthening and repositioning the underdeveloped, pushed back and narrow dental arches. It achieves this through consistent wear, training the mouth in the proper organization. The patient can wear the devices for an hour or two throughout the day or through the night. Once the oral cavity has been expanded and strengthened to the ideal positioning, hosts of common dental and non-dental issues clear up.
One major benefit of HealthyStart is that it provides a non-orthodontic, non-pharmaceutical and non-surgical solution to the issues of malpositioned teeth. By correcting the malformed arches and oral construction early, HealthyStart allows teeth to naturally grow in their proper positions, no crowding or buckling involved. As the teeth grow naturally in their proper positions, children can avoid the hassle and pain of braces, surgery and other orthodontic treatments.
The other benefit it less obvious but infinitely more effective: HealthyStart’s elimination of mouth breathing. Mouth breathing is caused by weak muscles in the nasal cavity; when the proper amount of oxygen cannot be brought in nasally, the brain forces the mouth open to achieve proper oxygenation, exacerbating the nasal weakness generating the abnormal breath. As HealthyStart reorganizes and trains the malformed oral cavity, the airway becomes strong enough to bring in sufficient oxygen nasally. The detrimental effects of mouth breathing are many, mainly through its catastrophic impact on sleep. Proper oxygenation during rest is crucial for deep, restorative sleep, allowing the body to fully relax into the rest. With deoxygenated sleep, a children’s rest is fitful and facilitates a variety of harmful symptoms. Some of these include swollen tonsils, nightmares, aggressive behavior, bed wetting, increased illness and difficulty focusing. HealthyStart attacks these conditions at their source by reorienting oral construction, providing relief for these myriad and seemingly disconnected ailments. HealthyStart also physically discourages mouth breathing while within treatment through its physical blocking of major oral inhalation.
Malformed dental arches are extremely difficult to correct in adults, as the airways have solidified and settled their position. By training the breath with HealthyStart young, children are set for a lifetime of healthy, effortless breathing. If you see any of these symptoms in your child, call us today at 484-887-0777 to schedule your consultation. Our staff will be happy to assist you!


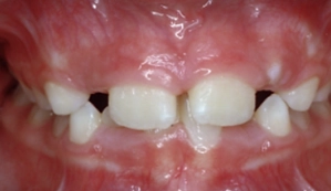
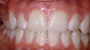
A set of before and after pictures showcasing HealthyStart ‘s amazing reconstructive effects.